点击右上角
微信好友
朋友圈

请使用浏览器分享功能进行分享

每年的2月28日是国际罕见病日,在提醒我们关注那些不常被提及、却真实影响着无数家庭的疾病。今天,我们要聊的话题有些沉重,但很有必要——有两种“专挑”孩子下手的罕见肿瘤:骨肉瘤(Osteosarcoma)和尤文肉瘤(Ewing sarcoma)。
这两种肿瘤是两种较为罕见但极具侵袭性的骨肿瘤,通常发生在儿童和青少年身上。它们的整体发病率极低,年发病率大概在每百万人1-5例,其中骨肉瘤更是被列入了国家《第二批罕见病目录》。你可能没听过它们的名字,但它们的早期症状——骨痛,却经常被家长误认为是“生长痛”或“运动损伤”。正是这种误解,让许多孩子错过了最佳的治疗时机。
今天我们骨肿瘤二科所写的这篇文章就是希望能为你敲响警钟,也带来希望。
骨肉瘤与尤文肉瘤——它们是谁?
骨肉瘤是一种常见的恶性骨肿瘤,主要发生在青少年,尤其是膝关节附近的长骨端(如股骨、胫骨等)。骨肉瘤的发病率约为每百万3-4例。尤文肉瘤则是一种恶性的小圆细胞肿瘤,通常发生在骨骼和软组织中,也常见于儿童和青少年。它是继骨肉瘤之后,第二常见的原发性恶性骨肿瘤,发病率大约为每百万1.5例,男孩的发病率稍高于女孩。最常见的发病部位包括骨盆、股骨、胫骨和肋骨等骨骼部位,也可发生在软组织中,如胸壁、臀部和脊柱旁等。(图1)

图1 骨肉瘤和尤文肉瘤的好发部位 (Arndt CA, Crist WM. Common musculoskeletal tumors of childhood and adolescence. N Engl J Med. 1999;3415:342-52.)
它们的共同点是,患有骨肉瘤和尤文肉瘤的孩子开始时症状通常并不明显,即便在持续性的、夜间加重的骨痛这一经典症状出现之后,也有可能被误认为普通的生长痛或运动损伤,从而错过了最佳诊断治疗时机。而在发病之后,它们都可能会迅速转移,尤其是转移至肺部。因此,对这两种罕见的沉默杀手,尽早确诊并规范施治至关重要。如何确诊与治疗?科学诊断与规范治疗
要想对骨肉瘤、尤文肉瘤这两个罕见的沉默杀手做到早确诊、早治疗,一套科学的诊断方法和规范的治疗方案至关重要。
第一步:精准侦察,锁定目标
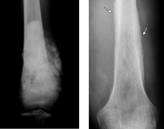
影像学检查(X光片、CT、核磁共振): 这是最直接的“雷达扫描”,三种检查通过互相参考,可以明确评估肿瘤的大小、位置和破坏范围。骨肉瘤和尤文肉瘤在片子上常常可以看到明确的骨质破坏,骨肉瘤可以在X光片上看到Codman三角、日光放射影等等的表现,而尤文肉瘤在X光片上有时会出现像“洋葱皮”一样的特殊表现,这些都是帮助医生发现它们的重要线索。此外,胸部CT扫描在诊断肺转移方面尤其重要,因为肺是骨肉瘤、尤文肉瘤最常见的转移部位。

图2 骨肉瘤和尤文肉瘤的典型X线表现
活检(最终判决): 这是确诊的“金标准”。医生会取一小块肿瘤组织出来,在显微镜下看清它的“真面目”,判断它究竟是尤文肉瘤还是骨肉瘤,或是其他东西。此外,尤文肉瘤的一个显著特征是基因融合,尤其是EWSR1与FLI1基因的融合,现在通过组织样本或者抽血(液体活检)的基因检测,就可以给它盖上“确凿无疑”的印章。
第二步:联合作战,彻底清除
对付这两个顽敌,不能单打独斗,必须采用以手术为核心的联合治疗方案,一线治疗方案主要包括以下的“三部曲”:
·术前化疗:也叫新辅助化疗,在明确诊断之后先进行化疗,目的是缩小肿瘤、减少微小转移灶,使手术切除更易达到理想的外科边界,同时也可以让医生在术前了解到肿瘤对化疗药物的敏感性,便于制定后续治疗方案。
·手术切除:手术治疗是骨肉瘤和尤文肉瘤的核心治疗手段,要对肿瘤进行边界外的整块切除,把肿瘤连根拔起。在许多年前,骨肉瘤和尤文肉瘤的治疗是以截肢为主,即便能治好,患者也很痛苦。现在技术很成熟,保肢手术已经非常普遍,很多孩子术后在治疗好肿瘤的同时,还能保留正常的肢体功能。
·术后化疗: 手术结束后,还得继续化疗,目的是清扫体内可能潜逃的“残余分子”,防止它们卷土重来。
在这三部曲之外,还有一些特殊情况,比如如果肿瘤位置特殊,手术切不干净,或者不能手术切除的肿瘤,医生会用放疗也就是用高能量射线把肿瘤细胞“照死”。对于骨肉瘤和尤文肉瘤的转移病灶,治疗通常更加复杂,可能需要结合靶向治疗、免疫治疗等新兴疗法,尽管这些治疗仍处于研究阶段,但在一些临床试验中,已经显示出比较好的效果。
家长必修课——什么时候该拉响警报?
孩子喊骨头疼,到底什么时候该警惕?当出现以下任何一种情况时,都建议尽快去医院检查:
·疼痛性质特殊: 持续性的骨痛,尤其是夜间更疼,甚至能疼醒。这和生长痛(通常白天活动多时疼,休息后缓解)有明显区别。
·出现肿块: 疼痛部位出现肿胀或摸到硬块,并且有逐渐增大的趋势。
·功能受限: 出现不明原因的跛行,或者胳膊、腿活动不灵便。
·意外骨折: 没有明显外伤或只有轻微磕碰,就发生了骨折。
特别提醒:除了常规的症状识别外,对于有家族遗传病史的人群,特别是患有Li-Fraumeni综合征等遗传性疾病的个体,应该定期接受专业的检查和基因筛查。现代医学已经发展出多种液体活检技术,如ctDNA(循环肿瘤DNA)和CTC(循环肿瘤细胞)检测,这些技术能在肿瘤出现复发或转移的早期就提供预警,有助于及时调整治疗策略,显著提高治疗效果。
罕见≠无望——科学带来曙光
虽然骨肉瘤和尤文肉瘤是凶险的罕见病,但“罕见”绝不等于“无药可救”!
随着医学的飞速发展,规范化、多学科联合的治疗模式,已经让这两种疾病的治愈率大大提高。现在,像我们北京大学人民医院骨肿瘤二科这样顶尖的骨与软组织肿瘤诊疗中心已经建立了专业的治疗团队,包括化疗、外科、放疗、病理科的专家,而且是北京大学人民医院唯一兼具手术与药物治疗院内全病程管理能力的骨与软组织肿瘤专科,我们会根据每个孩子的具体情况,量身定制最科学、最规范的治疗方案。
最后,提醒大家:
对于家长,多一份警惕,孩子就能少一份风险。
对于患者,选对方向,坚持规范治疗,就有机会迎来新生。
(北京大学人民医院骨肿瘤二科)
