点击右上角
微信好友
朋友圈

请使用浏览器分享功能进行分享

12月24日,呼吸介入领域迎来了一项新的突破 ——广州医科大学附属第一医院、广州呼吸健康研究院、国家呼吸医学中心钟南山院士团队的李时悦、钟长镐主任带队,携手喀什地区第一人民医院李黎副院长、解承鑫主任团队,成功完成国际首例5G辅助下远程柔性支气管镜机器人引导肺结节活检术,实现了广州-新疆喀什、5000多公里外呼吸内镜的无缝对接。远程手术在呼吸疾病诊疗领域的应用,不仅是技术的突破和飞跃,更是紧密贴合“健康中国2030”战略中促进优质医疗资源下沉的要求,医疗模式的创新,为提升医疗资源可及性、推动优质医疗资源下沉带来新希望。
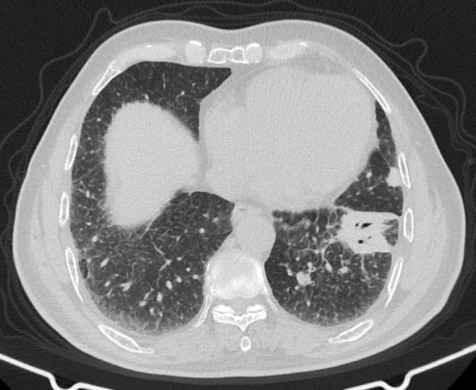
此次手术患者是喀什地区第一人民医院的一名55岁病人,因“间断咳嗽、咳痰、气短2年,再发5天”入院,术前CT显示“左下叶前内基底段囊实性病灶,边缘不规整,内部多发囊状影,约30*27mm”。(图1)
喀什地区第一人民医院的一名55岁病人术前CT(图1)
考虑到患者病情复杂、诊断不清,需要经支气管镜获取病变组织以明确诊断,但该患者的病灶位于肺外周,常规支气管镜不能到达病灶。支气管镜机器人是目前诊断肺外周病灶的最先进技术。广州医科大学附属第一医院、广州呼吸健康研究院、国家呼吸医学中心钟南山院士领导的呼吸介入团队有丰富的各款支气管镜机器人操作的经验,牵头完成了国内第一个支气管镜机器人的注册临床研究,新疆喀什地区第一人民医院有可以使用的支气管镜机器人,通过各方多次、详细周密的讨论后,并征得病人及家属同意后,确定了由李时悦、钟长镐主任团队在广州远程操作,通过5G辅助下的远程支气管镜机器人在新疆喀什地区第一人民医院完成手术操作。
在本次手术中:广州医科大学附属第一医院作为“主控方”,在5G网络辅助下,通过操作手柄,控制远在5000多公里外的“协控方”——喀什地区第一人民医院的柔性支气管镜机器人机械臂,实现病灶的导航、定位,最后由喀什地区第一人民医院的医师完成对病灶进行活检(图2)。这是国际上首次在人体上实施的支气管镜机器人的远程操作并完成相关临床需求。
(图2)
本项目的实施是基于“十四五国家重点研发计划项目——经呼吸道多模式诊疗机器人的临床验证与评价体系构建”支撑,前期李时悦教授、钟长镐主任团队联合朗合公司团队已完成体外模型、动物模型的远程网络多次测试及操作验证,最终优化及确定手术方案。
手术开始前3天,分别在主控方、协控方多时段、多次测试网络传输速度及操控机械臂的稳定性,均符合手术要求。手术当天,术前主控方操控协控方柔性支气管镜机器人机械臂成功在体外模型完成配准,并抵达目标病灶所在位置,完成术前网络环境及系统操控测试。手术开始后,在柔性支气管镜机器人系统引导下,李时悦教授、钟长镐主任控制柔性支气管镜机器人机械臂平稳准确抵达病灶处,随后使用径向超声探头探及实性低回声区,确认抵达病灶后,喀什地区第一人民医院医护人员对病灶组织行活检取样。
整个手术过程中,网络传输稳定,机械臂操控平稳流畅,主从方通过视频会议、通信系统全程、全方位、实时展示双方手术现场画面,进行实时沟通。术后患者生命体征稳定,未出现气胸、出血等并发症,手术圆满完成。(图3)
(图3)
柔性支气管镜机器人检查是外周肺病变的最新定位技术,其融合视觉、空间和形态等多方面信息,可智能协同操控机械臂持久平稳擎举,具有卓越的稳定性和操作可重复性,其高精度操作性能在复杂支气管环境中精准导航直达病灶,目前已广泛应用到外周肺病变的诊疗中。
5G网络技术具有低延时、高速度的特点,可确保操作指令实时传输,让远程操控精准稳定,实现多方实时协作。目前,在普外科、泌尿外科、妇产科等多学科手术中广泛应用,在呼吸介入领域上实现远程介入手术是国际首次。远程通讯技术在医疗领域的应用,跨越地理距离障碍,拓展了远程诊疗应用边界,使优质医疗资源惠及边远地区,降低医疗相对落后地区患者就医成本与风险,提高医疗资源利用效率。
广州医科大学附属第一医院李时悦教授、钟长镐主任团队始终秉持 “源于临床,服务临床”的理念,深度融合产业、学术、医学与研究力量,整合肺部介入与创新医疗科技领域的顶尖资源,高度重视医工协同创新,依托国家呼吸医学中心这一强大平台,团队勇挑重担,着力攻克国家 “卡脖子” 高端医疗科技难题。在 5G 远程支气管镜检查术的探索中,团队通过前期精心准备,协同首都医科大学附属北京朝阳医院王峰主任团队、山东省公共卫生临床中心徐栗主任团队完成体外模型远程操作,后续远程操作将与喀什地区第一人民医院李黎教授团队、石河子大学第一附属医院邬超教授团队、锦州医科大学附属第一医院刘敬禹教授团队协作,让优质医疗资源突破地域限制,下沉到基层。这一突破不仅提升了诊断的精准性与高效性,更为患者带来了更便捷、更经济的就医体验,有效解决了临床中偏远地区患者就医难、诊断难的痛点问题,探索智能远程医疗新模式。(李智)
